كشف أطباء صينيون عن وفاة شاب، يبلغ من العمر 22 عامًا، بعد شربه زجاجة كوكا كولا بسعة 1.5 لتر خلال 10 دقائق فقط.

ويقول مسعفون إن الاستهلاك السريع للشاب أدى إلى ضغط كمية كبيرة من الغازات داخل جسده، مما أدى إلى حرمان الكبد من الأكسجين، وموته في النهاية.

ذهب الرجل، الذي لم يتم الكشف عن هويته، إلى المستشفى بعد 6 ساعات من تناوله المشروب الغازي، واشتكى من ألم شديد وتورم في المعدة، بحسب ما ذكرت صحيفة «dailymail» البريطانية.


أخبر الأطباء في مستشفى تشاويانغ ببكين أنه شرب 1.5 لتر من كوكا كولا بسرعة كبيرة بسبب الطقس الحار في المدينة.

أدى تناول المشروب بسرعة كبيرة إلى تجمع الغازات في أمعائه، التي تسربت بعد ذلك إلى الوريد البابي، أحد الأوعية الدموية الرئيسية في الكبد، بسبب الضغط العالي.

لم يعتقد الأطباء أن الرجل يعاني مشاكل صحية مزمنة، وعند تشخيص حالته كان يعاني ارتفاع معدل ضربات القلب، وانخفاض ضغط الدم، وكان يتنفس بسرعة.

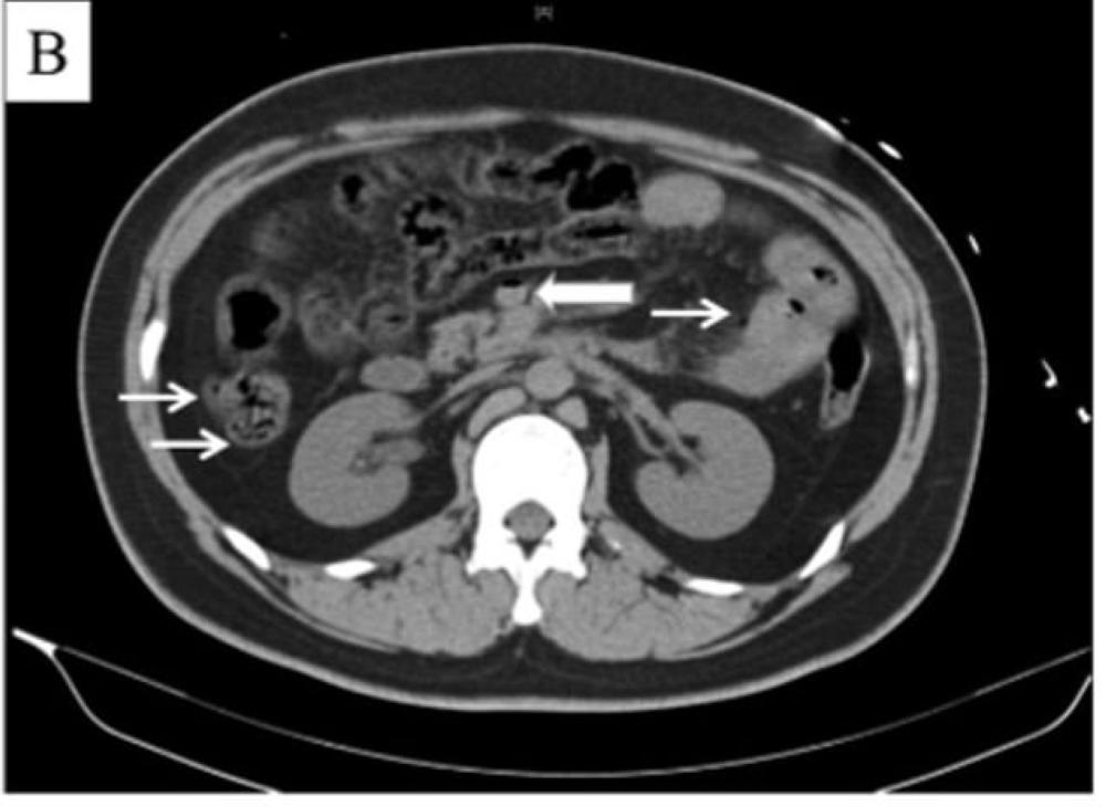
وكشفت عمليات المسح عن إصابته بنقص تروية الكبد، المعروف أيضًا باسم «صدمة الكبد»، وهو نوع من الأمراض الناجمة عن انخفاض إمداد العضو بالأكسجين، الذي يعتقد الأطباء أنه مرتبط بوجود غاز في الوريد البابي.