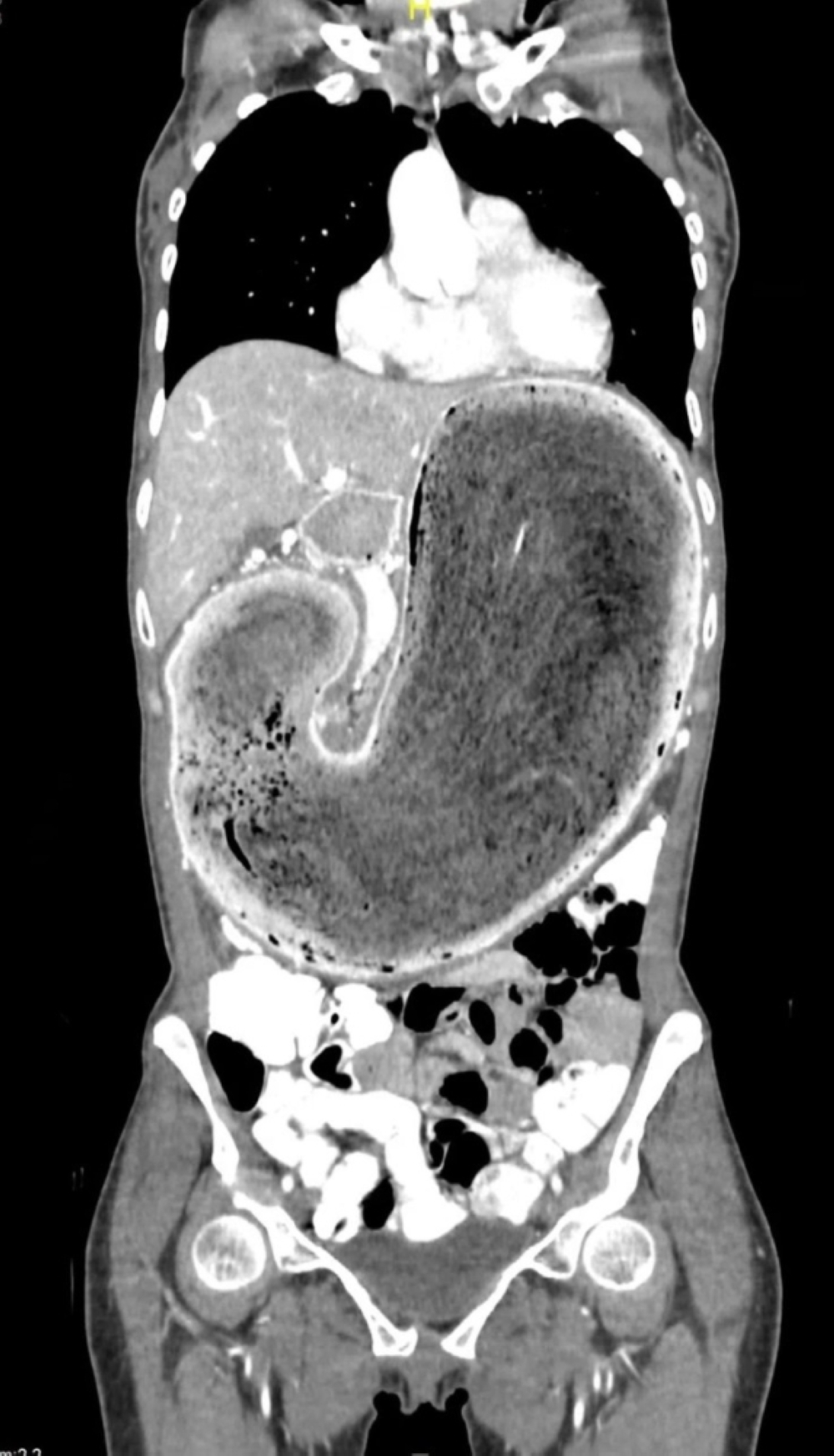
استخرج فريق من قسم الجراحة العامة بمستشفى الملك عبدالعزيز عضو تجمع مكة المكرمة الصحي كتلة من الشعر وزنها 6 كيلوجرامات من بطن امرأة تبلغ من العمر 39 عاماً في عملية نادرة.

وقال تجمع مكة المكرمة الصحي العملية، إن المريضة حضرت إلى قسم الطوارئ وهي تعاني من ألم وإمساك شديد وبعد إجراء الأشعة والفحوصات اللازمة تبين وجود كتلة كبيرة من الشعر في الجهاز الهضمي والمعدة أدت إلى إغلاق المجرى الهضمي مما استدعى التدخل الجراحي، وتم نقل المريض إلى غرفة العمليات، وأجريت لها العملية، وتكللت بنجاح، وتم خروج المريضة بتحسن.

يذكر أن هذه الحالة تُعتبر من الحالات النادرة، وتسمى هوس أكل الشعر حيث يتعرض المريض إلى حالة من التوتر النفسي الشديد ينتج عنه أكل كميات كبيرة من الشعر مما يؤدي إلى حدوث مثل هذه الحالة.